.news
Professionisti
Giovani
Donne
Pista
Fuoristrada
Politica
.focus
Incontri
Storie
.tecnica
Test
Trend
Zoom
Tech pro
.training
Preparazione
Alimentazione
Salute
.industry
.turismo
Le strade dei campioni
Instagram
Instagram
Twitter
Twitter
Facebook
Facebook
YouTube
Youtube
Linkedin
Linkedin
Account
Search
.news
Professionisti
Giovani
Donne
Pista
Fuoristrada
Politica
.focus
Incontri
Storie
.tecnica
Test
Trend
Zoom
Tech pro
.training
Preparazione
Alimentazione
Salute
.industry
.turismo
Le strade dei campioni
Home page
Chi Siamo
Newsletter
Informativa Cookie
Privacy Policy
Instagram
Instagram
Twitter
Twitter
Facebook
Facebook
YouTube
Youtube
Linkedin
Linkedin
Visualizza tutti
Search Results for:
Piganzoli
Milesi: vittoria ritrovata all’Avenir. E ora il mondiale…
Stefano Masi
30.08.2022
5
min
Juniores con la valigia: qualche domanda da parte di Basso
Enzo Vicennati
26.08.2022
5
min
Martinelli: «La sfortuna è alle spalle e riparto dall’Avenir»
Stefano Masi
19.08.2022
4
min
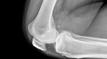
Fratture invisibili: le incognite sono tante, l’iter è chiaro
Gabriele Bonetti
18.08.2022
6
min
Avenir, doccia fredda. Dopo Germani, ko anche Frigo
Filippo Lorenzon
12.08.2022
6
min
Altura e U23 c’è chi dice sì: Delio Gallina “fissa” sul Maniva
Filippo Lorenzon
19.07.2022
4
min
Juniores, il vero gap è nell’attività limitata?
Enzo Vicennati
16.07.2022
5
min
Pronti per il Valle d’Aosta? Cinque tappe per scontri micidiali
Filippo Lorenzon
12.07.2022
5
min
Tenersi dei margini per quando si è pro’. Ne parliamo con Basso
Filippo Lorenzon
08.07.2022
5
min
<
1
…
20
21
22
23
24
>