Il ritiro dalle corse annunciato pochi giorni fa da Dario Cataldo e quel danno al pneumotorace che a detta del corridore della Lidl-Trek non è mai rientrato del tutto. Queste le sue parole nella nostra recente intervista: «Sento di non essere al 100 per cento neppure con la respirazione. Sia per il pneumotorace, sia per le fratture delle costole, ho perso tantissima capacità polmonare. Anche nei test fatti in ritiro a dicembre, avevo un valore nettamente inferiore agli altri anni».
Non solo Cataldo, ma anche Jonas Vingegaard ha subito questo infortunio (in apertura foto Wikipedia). Ora il danese ha ripreso a pedalare da qualche settimana in vista del ritorno alle corse previsto per il Tour de France.


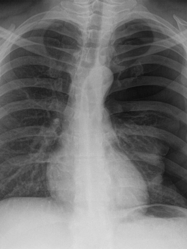
Il collasso del polmone
Il pneumotorace è esattamente questo: il collasso del polmone dovuto ad una pressione negativa, causata da un danno alla membrana sierosa. Vittorio Gemellaro, medico dello sport e direttore sanitario del Fisioradi Medical Center ci aiuta a comprendere in cosa consiste il pneumotorace.
«I polmoni – spiega – sono avvolti da questa membrana, se essa viene bucata si ha un collasso del polmone stesso. E’ come se con un ago si bucasse un palloncino. Il pneumotorace può avvenire in due modi: spontaneamente e in maniera traumatica. Nel primo caso si ha una predisposizione genetica del soggetto, si formano delle bolle d’aria e se si rompono avviene il collasso. Il secondo caso è quello che ci interessa di più perché riguarda traumi sportivi, come la frattura dello sterno, di una costola o della clavicola».


Anche la clavicola può causare uno pneumotorace? Ci spieghi meglio…
Una frattura scomposta può far piegare una di queste ossa verso il polmone e c’è il rischio che venga perforata la membrana. Siamo abituati a pensare alla clavicola come ad un osso lontano dai polmoni, ma la sua estremità inferiore è molto vicina a questo organo.
Cosa avviene di preciso in uno pneumotorace?
Il bucherellino che avviene nel polmone ne causa il collasso e porta a respirare in maniera preoccupante. Tanto che a volte si pensa al peggio.
E’ un danno così grave?
Nel caso medio no. La prima cosa da fare è l’ospedalizzazione, dove si fa un drenaggio e il polmone si ristabilisce. Un caso clinico normale prevede tra i sette e i dieci giorni di prognosi, chiaramente ci sono da valutare i danni collaterali.


Le fratture ossee…
Esatto, Il problema dei ciclisti è che il pneumotorace è spesso dovuto ad eventi traumatici, le cadute. Un ciclista cade su una superficie ruvida e spesso di petto o comunque batte violentemente a terra il busto. Magari dal pneumotorace si recupera presto ma poi bisogna aspettare per tornare in bici a causa di altre fratture.
Ma come si risana il pneumotorace?
La membrana si ripara da sola, si cicatrizza. Non ci sono interventi particolari da fare. L’unica cosa è tenere monitorato il paziente ed evitare, almeno in un primo periodo, immersioni, apnee o cambi di pressione.
Un ciclista come ritorna alla sua attività?
Come prima cosa riprende a pedalare ad un basso regime, senza grandi sforzi. Magari si allena su distanze medie (80, 100 chilometri, ndr) ma a intensità bassa. Deve evitare sforzi respiratori intensi, il classico fiatone diciamo. Ci si basa sulla sintomatologia, bisogna rimanere al di sotto della soglia del dolore. La letteratura dice che il riadattamento dura tra i 30 e i 40 giorni per tornare a prestazioni di alto livello.


Quindi all’inizio le salite sono sconsigliate?
Più che le salite gli sforzi elevati. Chiaro che se un corridore non si allena per due settimane e poi fa una salita di media lunghezza va in affanno.
Allora anche l’altura è da evitare?
Non aiuta, non tanto per un discorso di pressione atmosferica o pressione sanguigna, ma per lo sforzo. Pedalare sopra i 2.000 metri richiede una certa preparazione.
Ci sono rischi di ricadute o danni permanenti?
In teoria no. Un paziente medio riprende completamente da questo infortunio e non ne risente. Se il danno al polmone, invece, è stato di grande intensità il recupero avviene totalmente, ma magari si necessita di mesi e non solo di qualche giorno.